AESTHETIC

⻭のクリーニング

⻭のクリーニングとは、⻭に付着した汚れや⻭石を取り除き、ツルツルのきれいな⻭に導く施術です。

⻭に汚れがつく原因

歯の汚れはお口の中の細菌が関係しています。食べかすなどを栄養源として、細菌は増殖し、歯の表面にバイオフィルムというネバネバした細菌膜を作ります。バイオフィルムが形成されると、さらに汚れや細菌が繁殖し、結果的に虫歯や歯周病がどんどん進行してしまうのです。 バイオフィルムは歯磨きではなかなか取り除けません。ぜひ歯科医院でクリーニングを行いましょう。また、バイオフィルムはクリーニングで取り除いても、数か月で元の状態に戻るため、トラブルを感じてないときでも、定期的に歯科医院に来院することが大切です。

ホワイトニングとの違い

⻭の汚れを取ってきれいにするのが⻭のクリーニングです。 ホワイトニングは加齢や遺伝によって⻩ばんだ⻭そのものを白くします。

⻭のクリーニングの予防効果

  • ずっと健康な
    ⻭でいられる

    歯を失う原因のトップに位置する虫歯と歯周病。両方とも初期段階では違和感を覚えないため、重症化してから来院するケースが多く見受けられます。症状が進んだ段階で治療をすると、歯を大きく削ることになり、歯の健康寿命が短くなります。そこで定期的なクリーニングでお口の中の細菌を減らし、トラブルを見つけた場合は早期に介入することが重要です。

  • 重篤な病気を
    未然に防げる

    口腔内に細菌が多い状態が続くと、さまざまな全身疾患のリスクを高めることが明らかになってきました。たとえば歯周病菌は血管を通って全身を巡ります。実際に歯周病に罹患している方は糖尿病、動脈硬化、心臓病、誤嚥性肺炎などになりやすい傾向があります。つまり歯のクリーニングを続けることは、口腔トラブルを予防するだけではなく、全身の健康を高める効果も期待できます。

  • 口臭予防に
    結びつきます

    口臭の原因は病的なもの、心因的なものなどさまざまです。ただ一番多いのは、やはり口腔内の汚れによるものだと言われています。お口の中に汚れがあったり、虫歯・歯周病があったりすると、アンモニア臭などが発生しやすくなります。このような口臭は適切なクリーニングを続けることで、改善できるケースも多いのです。

当医院の⻭のクリーニングの特徴

  • 01

    来院1回で、
    全ての⻭をお掃除

    保険でのクリーニングと異なり、自費診療だからこそ1回の施術に50分の枠を取ることが可能です。複数回来院していただく必要はなく、来院1回ですべての歯のクリーニングを終えられるよう心がけています。

  • 02

    心地よく汚れを
    取ることを目指す技術

    快適に施術を受けていただけるよう、数々の研修をクリアしたスタッフが担当します。一人ひとりの歯の状態に合わせて、クリーニングをご提供するので、多くの方から「気持ちよかった」という感想をいただきます。 ホワイトエッセンス株式会社実施来院後のお客様アンケート結果より 2020年4-9月リラックス「できた」「とてもできた」と答えた方 N=4,334

  • 03

    ⻭だけでなく⻭ぐきや
    舌までアプローチ

    クリーニングは歯垢、歯石、着色汚れなどに効果が期待できます。あわせて当医院では、舌のクリーニングや歯ぐきマッサージ(オプション)などを組み合わせて、歯ぐきや舌などお口全体の美しさと健康を追求できます。 ※オプションメニュー

  • 04

    安心価格の
    定期コースをご用意

    クリーニングは続ければ続けるほど、口腔内を清潔に保つことができて、日々快適に過ごせるようになります。また、細菌を減らすことができるので、虫歯や歯周病予防にも効果的です。そこで、より患者様が快適に施術を受けられるように定期クリーニングコースをご用意しました。ぜひご興味がおありでしたら、お気軽にお問い合わせください。

おすすめの受診頻度

  • 1ヶ月ごと

    • タバコを吸う方
    • 糖尿病の疑いがある方
    • ⻭ぐきからたまに出血する方
  • 2ヶ月ごと

    • コーヒーやワインの着色汚れが気になる方
    • 口臭をケアしたい方
    • 常に清潔感のある口元でいたい方
  • 3ヶ月ごと

    • 虫⻭・⻭周病の予防がしたい方
    • ⻭の汚れはとくに気にならない方

※あくまで目安です。正確な頻度は⻭医者さんで診断を受けてください。

施術の流れ

  • Flow 01

    ヤニ・茶渋取り

  • Flow 02

    ⻭石取り

  • Flow 03

    フロッシング

  • Flow 04

    一次⻭面研磨 (バイオフィルムを落とす)

  • Flow 05

    二次⻭面研磨 (ツヤ出し)

  • Flow 06

    舌クリーニング

メニュー

  • クリーニングプロ

    価格
    9,900円(税込)
    内容
    着色汚れ除去→⻭石取り→フロッシング→仕上げ磨き (2回)→舌クリーニング

    クリーニングプロを予約する

    当院は、ホワイトエッセンス加盟院です クリニックページはこちら→
  • クリーニングプロプラス

    価格
    13,200円(税込)
    内容
    着色汚れ除去→⻭石取り→フロッシング→仕上げ磨き (2回)→舌クリーニング +オプションメニューから好きなメニュー1つ ・延⻑15分 ・むし⻭予防トリートメント ・⻭周病予防トリートメント ・フッ素コーティング+ナノアパタイトコート研磨 ・⻭ぐきマッサージ

    クリーニングプロプラスを予約する

    当院は、ホワイトエッセンス加盟院です クリニックページはこちら→
  • オーラルスパ

    価格
    9,900円(税込)
    内容
    着色汚れ除去→⻭石取り→フロッシング→仕上げ磨き (1回)→⻭ぐきマッサージ→舌クリーニング

    オーラルスパを予約する

    当院は、ホワイトエッセンス加盟院です クリニックページはこちら→
  • クリーニング4回コース

    クリーニングプロを4回お受けいただけるコースです。

    価格
    34,500円(税込) 1回あたり8,625円
    有効期限
    1年

    クリーニング4回コースを予約する

    当院は、ホワイトエッセンス加盟院です クリニックページはこちら→
  • クリーニング6回コース

    クリーニングプロを6回お受けいただけるコースです。

    価格
    48,000円(税込) 1回あたり8,000円
    有効期限
    1年

    クリーニング6回コースを予約する

    当院は、ホワイトエッセンス加盟院です クリニックページはこちら→

⻭のクリーニングの注意事項

  • クリーニングによって歯垢や歯石が取り除かれると、歯の隠れていた部分が露出します。その個所は刺激に敏感なので、温かい(冷たい)飲食物が当たると、一時的にしみることがありますが、1週間ほどで落ち着きます。
  • 歯石が多いと、施術の最中に出血が多くなる場合があります。しかし施術後、丁寧に歯磨きを続ければ、出血がなくなっていき、歯肉も徐々に引き締まります。

⻭のクリーニングについて

内容:⻭石取り(スケーリング)、フロッシング、PMTC、舌クリーニングなど 費用(自費):9,900円〜16,500円(税込) 期間、回数:通常1日、1回(内容により異なります) 副作用・リスク:知覚過敏の方は、刺激を感じる場合があります。また、保険のきかない自費診療になるため、料金が割高になります。

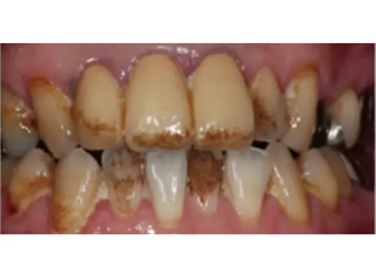
症例紹介

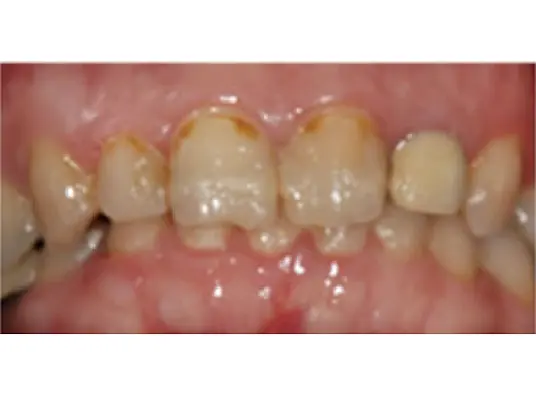
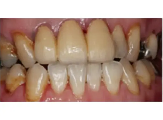
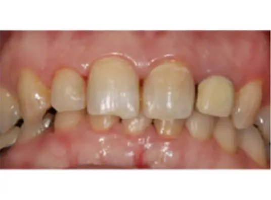
  • 症例1

    Before

    After

    年齢・性別
    30代男性
    通院目的
    ⻭のクリーニング
    診断・処置
    クリーニングプロ(着色汚れ除去→⻭石取り→フロッシング→仕上げ磨き
    (2回)→舌クリーニング)
    通院期間・回数
    1回
    費用
    9,900円(税込)
    リスク・副作用
    ・クリーニングをすると今まで⻭石や⻭垢でカバーされていた⻭が露出するため、一時的にしみることがあります。 ・⻭石が多かった場合いつもより出血しやすくなることがあります。
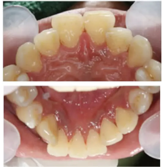
  • 症例2

    Before

    After

    年齢・性別
    40代男性
    通院目的
    タバコのヤニによる⻭のクリーニング
    診断・処置
    クリーニングプロ(着色汚れ除去→⻭石取り→フロッシング→仕上げ磨き
    (2回)→舌クリーニング)
    通院期間・回数
    1回
    費用
    9,900円(税込)
    リスク・副作用
    ・クリーニングをすると今まで⻭石や⻭垢でカバーされていた⻭が露出するため、一時的にしみることがあります。 ・⻭石が多かった場合いつもより出血しやすくなることがあります。
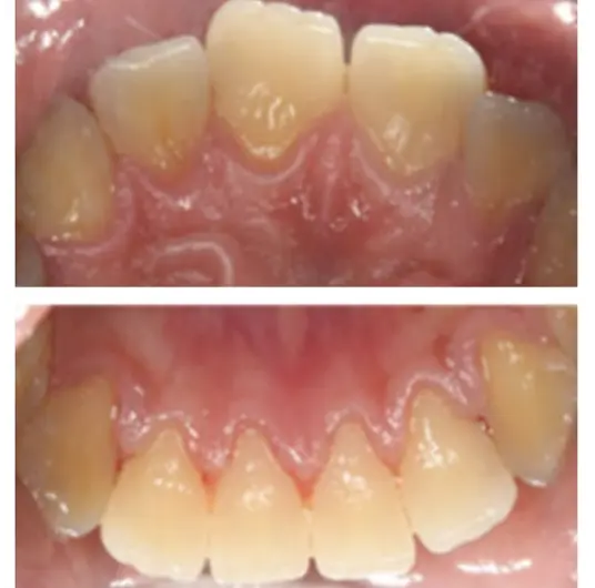
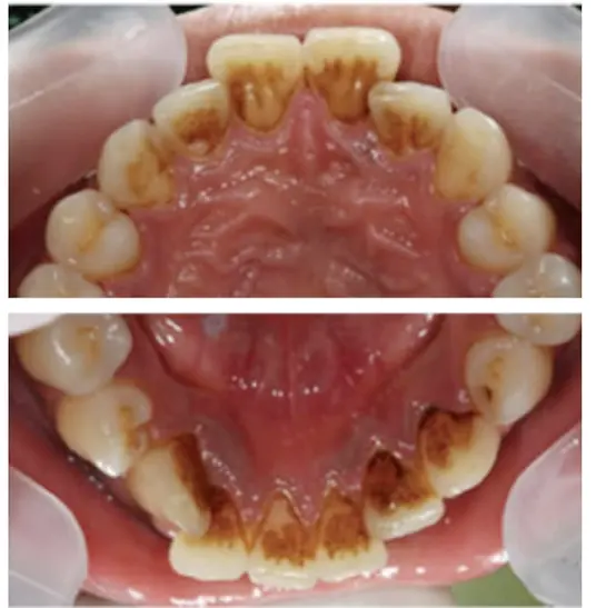
  • 症例3

    Before

    After

    年齢・性別
    30代女性
    通院目的
    ⻭のクリーニング
    診断・処置
    クリーニングプロ(着色汚れ除去→⻭石取り→フロッシング→仕上げ磨き
    (2回)→舌クリーニング)
    通院期間・回数
    1回
    費用
    9,900円(税込)
    リスク・副作用
    ・クリーニングをすると今まで⻭石や⻭垢でカバーされていた⻭が露出するため、一時的にしみることがあります。 ・⻭石が多かった場合いつもより出血しやすくなることがあります。
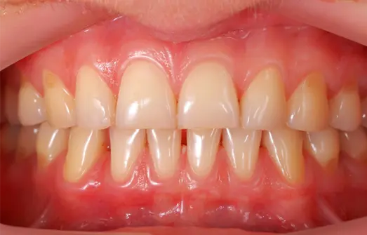
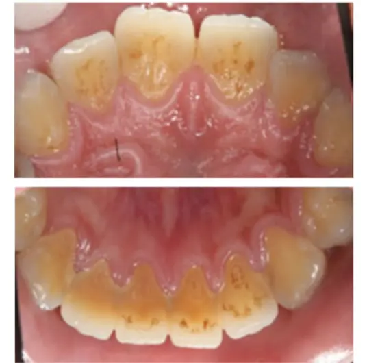
  • 症例4

    Before

    After

    年齢・性別
    40代男性
    通院目的
    タバコのヤニによる⻭のクリーニング
    診断・処置
    クリーニングプロ(着色汚れ除去→⻭石取り→フロッシング→仕上げ磨き
    (2回)→舌クリーニング)
    通院期間・回数
    1回
    費用
    9,900円(税込)
    リスク・副作用
    ・クリーニングをすると今まで⻭石や⻭垢でカバーされていた⻭が露出するため、一時的にしみることがあります。 ・⻭石が多かった場合いつもより出血しやすくなることがあります。

よくある質問

  • Q 歯のクリーニングは保険診療?自費診療?

    保険が適用できる治療は、医療法によって疾病の改善を目的としたものに限られます。つまり保険でクリーニングを行うためには、現時点で患者様のお口の中に虫歯や歯周病などがあることが条件です。 一方ホワイトエッセンスでご提供している歯のクリーニングは自費診療となります。歯のヤニや着色汚れを取り除いたり、そもそも疾病を防いだりするための予防特化メニューです。保険診療にはないメリットは、「お好きなタイミングで来院可能なこと」「時間をかけてクリーニングできる点」などです。

  • Q クリーニングでキレイになった歯は、どの位の期間持つのですか?

    クリーニングで歯が綺麗になっても、時間が経過するとバイオフィルムは復活します。そのため、クリーニングの持続期間は3ヶ月ほどです(歯質や生活習慣によって個人差があります)。だからこそ年に3~4回の定期的なクリーニングをおすすめしています。

  • Q 歯周病にかかっているかどうか見てもらえますか?

    クリーニングを行う前に、虫歯や歯周病の状況をチェックします。また初めて来院していただいた際は、患者様のお口の状況を分析したレポートをお渡しすることも可能です。

  • Q 歯のクリーニングで痛みはありますか?

    クリーニングは歯石を取り除く際に多少痛みが出るのが特徴です。しかし当医院では超音波を用いたクリーニングで、痛みの少ない治療を心がけています。また、クリーニングは続ければ続けるほど、痛みがどんどん少なくなります。

  • Q 妊娠中でも施術可能なものはありますか?

    ホワイトニング、歯ぐきピーリング以外のメニューは基本的に妊娠中でも受けられます。特に妊娠中の方はホルモンバランスの乱れやつわりなどにより、虫歯や歯周病になりやすい口腔環境です。ぜひ積極的に歯のクリーニングを受けるようにしましょう。

  • Q 虫歯がある場合も歯のクリーニングは可能ですか?

    できるだけ対応いたします。ただ虫歯が進行している場合は、そちらの治療を優先したほうが良いかもしれません。そこで実際にお口の中を確認してから適切な判断を行います。

⻭ぐきピーリング

⻭が白くても⻭ぐきが黑ずんでいると、清潔感は損なわれてしまうもの。黑ずみの原因となるメラニン色素を、エステ感覚でピーリングして⻭ぐきを健康的なピンク色にします。

こんな場合はご相談ください

TROUBLE

  • ⻭ぐきの色が気になる方
  • 喫煙される方
  • くちもと全体の印象を良くしたい方
  • 接客業など人前に出るお仕事の方
  • 強いブラッシング圧の⻭磨き
  • 喫煙
  • ⻭周病
  • 口呼吸

当医院の⻭のクリーニングの特徴

  • 01

    口もとの清潔感がアップ

    歯の白さを追求する方はいらっしゃいますが、歯ぐきに着目している方はまだまだ少ないのが現状です。しかし、どんなに綺麗な歯でも、歯ぐきが不健康だと全体的にアンバランスな印象となります。そこで歯ぐきピーリングを行うことで、健康的な印象を与えることができるのです。

  • 02

    エステ感覚で施術

    黒ずみの原因はメラニン色素です。専用溶液を用いることで、痛みを抑えつつメラニン色素を取り除けます。また、個室でリラックスして施術を受けられるのでエステ感覚で通っていただけます。

施術の流れ

  • Flow 01

    施術範囲の決定

    歯ぐきの黒ずみの場所、濃さなどを確認します。その後、薬剤を塗布する範囲を決めていきます。

  • Flow 02

    専用溶剤を塗布

    歯ぐきの表面が乾燥した後、表面麻酔を塗布します。その後、専用溶剤を重ねて塗布し、黒ずみの原因であるメラニン色素を取り除いていきます。

  • Flow 03

    施術後の確認

    溶液を縫った部分が徐々に変化します。白くなった範囲を鏡で確認していただきます。

  • Flow 04

    1〜2週間後にチェック

    表面の白いかさぶた部分が自然に剥がれると、ピンク色の歯ぐきが出てきます。おおよそ、1~2週間ほどで効果が期待できるので、そのタイミングで再度来院していただき問題がないかを確認します。

メニュー

⻭ぐきを健康的なピンク色に!「⻭ぐきピーリング」

喫煙や遺伝、力を入れすぎたブラッシング等でくすんだ⻭ぐきの色を優しくピーリングし、健康的で美しいサーモンピンクにします。 ホワイトニングと合わせて行うことでよりいっそう魅力的な笑顔になって頂けます。 通常、2〜3回で完了します。

価格
11,000円(税込)
所要時間
30分 ※初回はカウンセリング込みで60分

⻭ぐきピーリングを予約する

当院は、ホワイトエッセンス加盟院です クリニックページはこちら→

⻭ぐきピーリングの注意事項

  • 高血圧や糖尿病の方、妊娠中や授乳中の方などは施術を受けることができません
  • 施術中ピリピリした感覚が生じることがあります
  • 施術後は数日間、歯ぐきが痛むことがあります
  • 施術直後ではなく、白いカサブタが剥がれ落ちた後にピンク色の歯ぐきが出てきます
  • かさぶたを無理に剥がすことは避けましょう
  • 施術した部位に歯ブラシを強く当てないようにしましょう
  • 黒ずみの濃さによっては、一回の施術では効果が得られないことがあります

⻭ぐきピーリングについて

内容:⻭ぐきピーリング 費用(自費):11,000円(税込) 治療期間及び回数:2級間おきに2~3回(治療内容により異なります) 副作用・リスク:効果は個人差によります。効果は永久的なものではございません。

よくある質問

  • Q 薬は安全なものですか?

    基本的にフェノールという薬剤を用いて古い角質を取り除くだけであり、安全面に配慮して実施しております。ただし、歯周病など歯ぐきにトラブルがある方、妊娠中の方は治療を行うことができません。状況によっては先に歯科治療を行い、その後に歯ぐきピーリングのご案内をします。

  • Q 痛みはありますか?

    表面麻酔を塗布するので、施術中は痛みがほとんどありません。ただし、施術後数日間は歯ブラシの際にしみることがあります。強くブラッシングをしないよう心がけてください。

  • Q きれいになるのに期間はどのくらいかかりますか?

    施術後数日間は、白っぽいかさぶたが生じます。その後一週間ぐらいかけて、かさぶたが剝がれていき、ピンク色の歯ぐきに回復します。施術を繰り返すことで健康的な歯ぐきを取り戻す効果が期待できます。おおよそ、2~3回が患者様の平均的なご来院回数です。